Space Closure

  • Home
  • Space Closure
Speciality Treatments

Space Closure

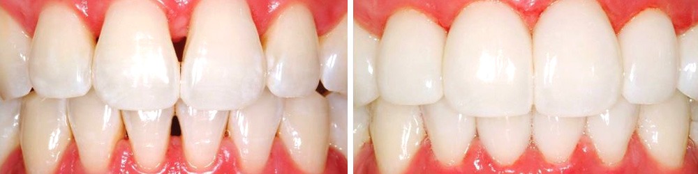
Space closure is an orthodontic procedure used to close gaps or spaces between teeth. These spaces may occur due to missing teeth, tooth extraction, developmental conditions, or improper alignment of the teeth. Large gaps between teeth can affect both the appearance of the smile and the proper functioning of the bite. Space closure treatments help bring the teeth into better alignment and restore a more natural and balanced dental structure.

Orthodontic appliances such as braces or clear aligners are commonly used to gradually move the teeth into the desired position. Controlled pressure is applied to the teeth over time, allowing them to shift slowly and close the unwanted gaps. The treatment is carefully planned by dental specialists to ensure that the teeth move safely while maintaining proper bite alignment and overall dental health. Space closure may also be required after tooth extraction as part of orthodontic treatment. In such cases, the surrounding teeth are guided into the empty space to create a well-aligned dental arch. This approach helps avoid unnecessary gaps and improves both function and appearance. With modern orthodontic techniques and regular monitoring by dental professionals, space closure can produce highly effective and predictable results. Proper oral hygiene and routine dental check-ups during treatment are essential to maintain healthy teeth and gums while the spaces are being corrected.

"Sculpting Beauty, Enhancing Lives"

Testimonials

Our Happy Customers

Join thousands of happy patients who trust us for gentle, expert care and beautiful smiles. Your perfect dental experience starts here!

Ready to Book Your Appointment?

Contact us today to schedule your visit and take the first step toward a healthier smile.

Book Appointment
Our Services
Contact Us
Monday - Friday 08.00 - 18.00
100 S Main St, New York,
contact@dentiacare.com
About Us

At Dentia, we’re dedicated to providing high-quality, personalized dental care for patients of all ages. Our skilled team uses the latest technology to ensure comfortable, efficient treatments and beautiful, healthy smiles for life.